セ ラ ミ ッ ク
 

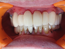
オールセラミックス


金属を使わずに全てセラミックを使用し、光の透過性を上げる事により自然な白い歯に回復させる方法です。

現在では土台から白い材質(ファイバーポストなど)の物を使用することにより、さらに透明感が増し天然歯に近似しています。

オールセラミックは近年進化を遂げており、強度や接着性がかなり改善され、審美的にとても優れたものと成って来ております。

オールセラミックにも色んな種類がありますが、当院ではe-max(二ケイ酸リチウムガラスセラミック、)ジルコニアセラミックスを採用しています。

症 例
      
      
      
      
      
      
 
      
 
   
      
      

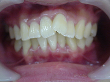
セ ラ ミ ッ ク ク ラ ウ ン

内面には金属を使用し、外面にセラミックを築成するタイプで、従来多くがこの方法で治療されていました。
 
症 例
 
      
 
      
 
   
 
   
 
 

A G C

 

ガルバノテクニックを用いて作製されるセラミックであり、純金を用いる事によって生体親和性に優れ、歯肉にもやさしく、最適な適合精度と最適なマージン適合性が得られます。

 
症 例

 

    
 
    
 
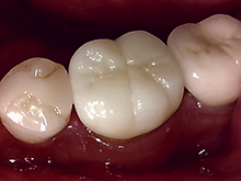
ハイブリッドセラミックス
 

ハイブリッドセラミックスとはセラミック粒子を92%含有した白い材料で、セラミックスのもつ審美性と耐久性、
より天然歯に近い硬さの材料です。

 
症 例
 
   
 
 

       
         
         

 

Copyright (C)2000 ars dental clinic. All Rights Reserved.