![]() |
|||||
その他の症例集 |
|
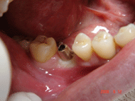
| <症例3> |
| 左下456番に埋伏歯を避けブリッジタイプのハイブリッドセラミック補綴 |
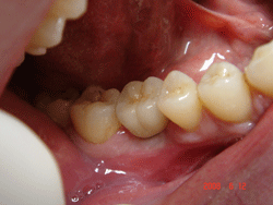
| <症例4> |
| 右下6番パーフォレーションによる骨吸収のため抜歯。両隣在歯がノンカリエスのためインプラントを選択。 |





▲Top
![]()
Top・コンセプト・医院紹介・急患随時受付及び、保険内と保険外治療について・アクセス・メール
インプラント・矯正歯科・虫歯治療・歯周病治療・審美歯科・ホワイトニング・予防
麻酔・注射・特殊義歯・知覚過敏・歯牙移植・親知らず・歯ぎしり・治療費について
Copyright (C)2000 ars dental clinic. All Rights Reserved.